Panorámico 3D Green X16
[PANO | CEPH | CBCT | MODELO SCAN]
SELECCIÓN MULTI FOV
TIEMPO DE ESCANEO GREEN
BAJA DOSIS Y ALTA CALIDAD DE IMAGEN
EL ART-V
ESCANEO 3D PARA MODELO
INSIGHT PANO
EL SISTEMA 4-EN-1 MÁS AVANZADO DE IMÁGENES DE RAYOS X DIGITALES
Green 16 es una avanzada proyección de imagen de rayos X digital 4-en-1, sistema que incorpora PANO, CEPH (opcional), CBCT y MODEL SCAN.
Proporciona imágenes de alta calidad con menor radiación mediante la combinación de procesamiento de imágenes y acumuladas experiencias en imagen dental de VATECH.
Esto mejorará su precisión de diagnóstico con un aumento de la planificación del tratamiento y la satisfacción del paciente.
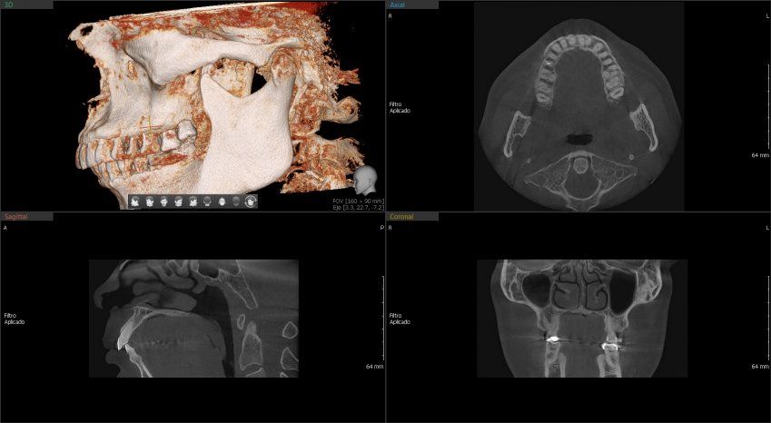
SELECCIÓN MULTI FOV
Green 16/18 ofrece una gama de campos de visión seleccionables. Multi FOV permite al usuario seleccionar el modo FOV óptimo y minimizar la exposición a áreas que no son la región de interés. Seleccione el tamaño adecuado de FOV entre 16×9/18×10, 12×9/13×10, 8×9 y 5×5 basado en una particular necesidad de diagnóstico.
Cubre la región del arco completo, seno y la ATM izquierda / derecha y es adecuado para la mayoría de los casos de cirugía oral así como la cirugía de implantes múltiples. También puede medir el volumen de la vía aérea.

TIEMPO DE ESCANEO GREEN
Green 16/18 minimiza el artefacto de movimiento y permite un flujo de trabajo más rápido debido a su tiempo de escaneo.
También produce excelentes imágenes de diagnóstico, que serán una fuente de orgullo para cualquier práctica dental, y mejora la salud y la seguridad de sus pacientes.
Experimente una excelente calidad de imagen con la tecnología avanzada de VATECH.
BAJA DOSIS Y ALTA CALIDAD DE IMAGEN
Lo que se ha desarrollado en VATECH rompe muchas convenciones en radiografía dental.
Siempre se creía que con baja radiación viene una calidad de imagen inferior, que lo hace inútil en el diagnóstico clínico.
Sin embargo, Green 16/18 proporciona escaneos de Rayos X clínicamente diagnosticables a una baja dosis de Rayos X, es el nuevo estándar de oro.
ESCANEO 3D PARA MODELO
La captura del modelo 3D permite a los usuarios almacenar yesos como modelos digitales.
*Se requiere un espacio adicional de 76.2 mm detrás de la unidad para la instalación del soporte de montaje en pared.





